您的位置:首页 > 医院资讯 > 医疗技术

生死时速!重症医学科成功抢救急性肺栓塞患者

发布人:中山市东凤人民医院    发布时间:2025-12-16

生死时速!
重症医学科成功抢救
急性肺栓塞患者,
溶栓治疗创造生命奇迹
 
一、危急
突发气促血氧骤降,患者命悬一线
“不能平卧、动则气促、血氧持续下降……”这是患者被转入重症医学科时的真实写照。一名中年女性患者因突发气促入院,初步诊断为急性肺栓塞。在普通病房时,她的血氧饱和度已降至80%(远低于95%以上的安全线),轻微活动后即胸闷气促,无法平卧——这是肺栓塞导致右心衰竭、缺氧加重的危险信号!
“病情危重,必须立即干预!”重症医学科团队迅速评估后,当机立断:启动溶栓治疗。
 
二、逆转
溶栓后血氧从80%升至98%-100%,生命体征趋于稳定。
时间就是心肌,时间就是生命。在严密监护下,溶栓药物精准注入患者体内。短短数小时内,奇迹发生:
• 血氧饱和度从80%稳步上升至90%,最终稳定在98%-100%!
• 患者呼吸逐渐平缓,活动后气促消失,可平卧休息!
• 心率、血压等生命体征全面改善,摆脱危险边缘!
 
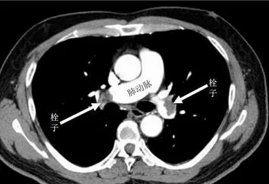
三、科普
什么是急性肺栓塞?为何如此凶险?
 
         急性肺栓塞是血栓堵塞肺部血管导致的急症,起病急、进展快,死亡率极高。患者常表现为突发的呼吸困难、胸痛、血氧下降,严重时可瞬间致命。溶栓治疗是通过药物快速溶解血栓,恢复肺部血流的关键手段,但需严格把握“黄金时间窗”。